Menu
Gallery
Contact
Home
About
About Dr. Bresnick
Meet the Staff
Our Office
Plastic Surgery FAQs
Surgicenter
Testimonials
Media
Publications
Blog
Breast
Breast Augmentation
Breast Augmentation with Lift
Breast Lift without Implants
Breast Reduction
Breast Revision
Breast Implant Removal
Body
Mommy Makeover
Liposuction
Tummy Tuck
Arm Lift
Face
Facelift & Neck Lift
Forehead/Brow Lift
Ear Reshaping
Eyelid Lift
Men
Male Breast Reduction
Liposuction in Encino
Facelift & Neck Lift
Eyelid Lift
Ear Reshaping
Medical Spa
Gallery
Resources
Videos
Financing
Patient Forms
Specials
Contact
Ask a Confidential Question
(818) 981-3333
Eyelid Surgery
Back to Gallery
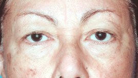
Eyelid Surgery Case 1
View Case
Eyelid Surgery Case 2
View Case
Eyelid Surgery Case 3
View Case
Eyelid Surgery Case 4
View Case
Eyelid Surgery Case 5
View Case
Eyelid Surgery Case 6
View Case
Eyelid Surgery Case 7
View Case
Eyelid Surgery Case 8
View Case
Next
Contact Us
Please enable JavaScript in your browser to complete this form.
First Name
*
Last Name
*
Email
*
Phone Number
*
Procedure of Interest
*
Please Select a Procedure*
Body
Arm Lift
Liposuction
Mommy Makeover
Tummy Tuck
Breast
Breast Augmentation
Breast Augmentation with Lift
Breast Lift without Implants
Breast Reduction
Breast Revision
Breast Implant Removal
Face
Ear Reshaping
Eyelid Lift
Facelift & Neck Lift
Forehead/Brow Lift
Lip Augmentation
Men
Male Breast Reduction
General Inquiry
General Inquiry
Decision Stage
Decision Stage
Just Started Researching
Evaluating Treatments
Interviewing Doctors
Ready to Book a Procedure
Message
Newsletter Signup
Yes! Please send me info on events and specials
Enter the correct answer:
*
=
Email
Submit
Please ensure Javascript is enabled for purposes of
website accessibility